This is an amazing dental office from start to finish. The front desk staff is competent, kind and thorough. My dental hygienist, Jennifer Giannini, is knowledgeable, compassionate and best of all, gentle. I feel comfortable and cared for in her chair. The dentists and staff enjoy a friendly banter that makes the whole experience more pleasant. I highly recommend this office, its state of the art facility and equipment and the professionals that represent it well.
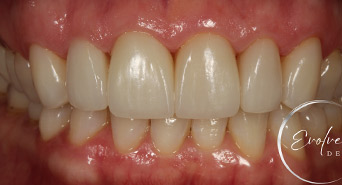
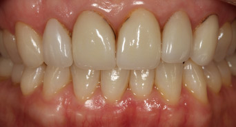
- Turn the clock back on years of neglect
- Reveal perfect-looking teeth with our many treatments
- Fix dental damage or disease for a healthier smile
